

제품 설명
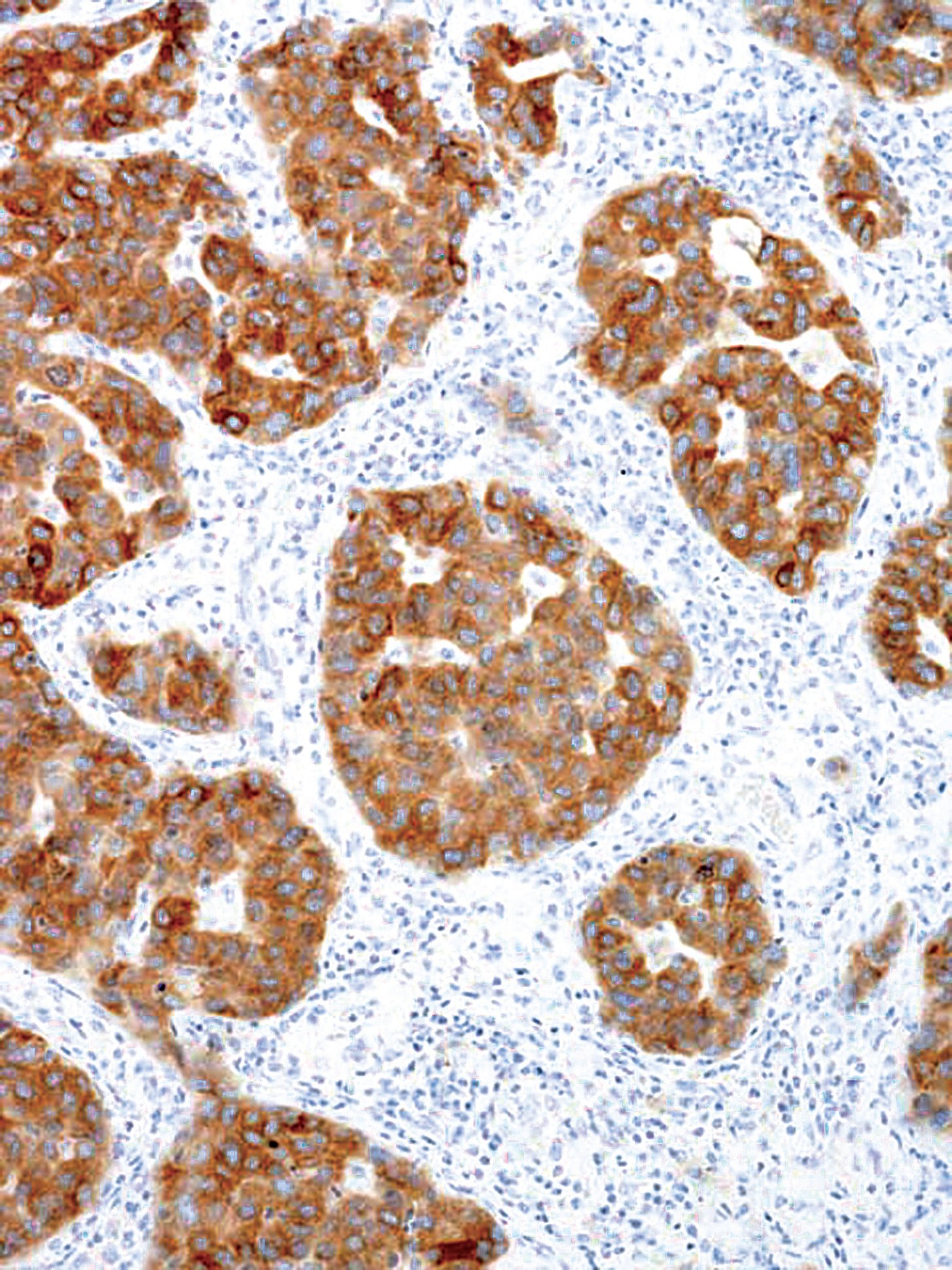
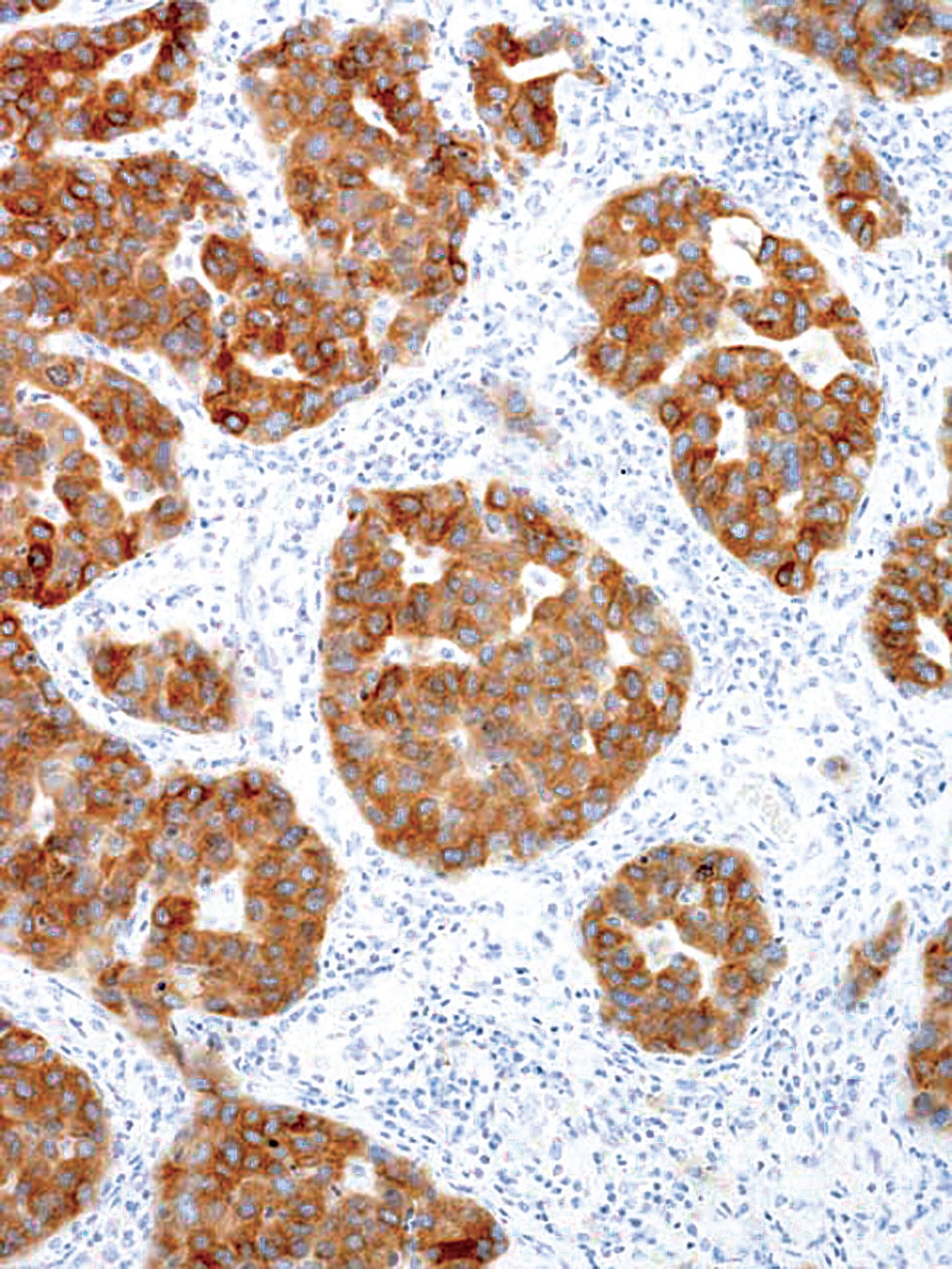
ALK
제품 번호
IHC509-100
제품 특징
Anaplastic Lymphoma Kinase (ALK) is a receptor tyrosine kinase which plays a role in brain and nervous system development. ALK is typically expressed at low levels in regions of the developing central and peripheral nervous system, such as the neonatal brain and spinal cord. The most common genetic alterations of this gene are chromosomal translocations, which result in multiple ALK fusion proteins that are involved in tumourigenesis, as in the case of anaplastic large cell lymphoma (ALCL), lung adenocarcinoma, and inflammatory myofibroblastic tumours. Aberrant ALK expression is also found in other tumours such as familial neuroblastoma, non-small cell lung carcinoma (NSCLC), and brain cancers.
Specifications
CLONE:
IHC509
ISOTYPE:
IgG2b
HOST SPECIES:
Mouse
CLONALITY:
Monoclonal
POSITIVE CONTROL:
Anaplastic Large Cell Lymphoma
DILUTION RANGE:
INTENDED USE/REG. STATUS:
IVD
GenomeMe의 모든 제품을 만나보세요!
GenomeMe - Official Distributor in South Korea "Morebio" 한국 공식 대리점 "모아바이오"