IBT Bioservices는 감염병 및 면역 치료제 개발을 위한 비임상 연구 및
CRO(Contract Research Organization) 서비스를 제공하는 생명과학 기업입니다.
제품 설명
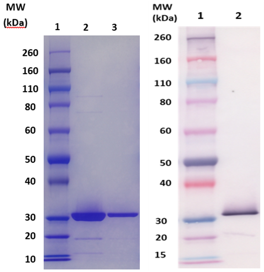
Csa1A protein (S. aureus)
제품 번호
0541-002
제품 특징
Recombinant Protein: Staphylococcus aureus cell surface associated lipoprotein Conserved Staph Antigen, 1A (Csa1A) 39-40 is supplied as purified protein.
Formulation & Storage: Supplied in PBS and 0.02% proclin. Store at +4°C for 2-3 weeks, -80°C for long term
Notes & Usage Guidelines: ELISA: Assay-dependent dilution WB: Assay-dependent dilution
Csa1A is intended for research use only, not for human, therapeutic, or diagnostic applications.

IBT Bioservices의 모든 제품을 만나 보세요!
Custom Protein Production Services
IBT Bioservices - Official Distributor in South Korea "Morebio" 한국 공식 대리점 "모아바이오"