IBT Bioservices는 감염병 및 면역 치료제 개발을 위한 비임상 연구 및
CRO(Contract Research Organization) 서비스를 제공하는 생명과학 기업입니다.
제품 설명
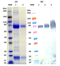
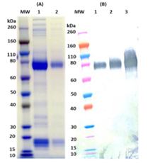
Recombinant Zaire Ebola virus GPΔTM (S2) – 100ug
제품 번호
0501-025
제품 특징
Mature, recombinant, His-tagged Ebola virus Glycoprotein minus the transmembrane domain (EBOV rGPΔTM) is supplied as purified protein.
Formulation & Storage: Supplied in PBS and supplemented with glycerol, arginine and glutamic acid. Store at -20°C for 2-3 weeks; -80°C for long-term
Notes & Usage Guidelines: ELISA: Assay-dependent dilution WB: Assay-dependent dilution
Ebola virus rGPΔTM is intended for research use only, not for human, therapeutic, or diagnostic applications.

IBT Bioservices의 모든 제품을 만나 보세요!
Custom Protein Production Services
IBT Bioservices - Official Distributor in South Korea "Morebio" 한국 공식 대리점 "모아바이오"