본문 바로가기 주메뉴 바로가기

제품소개

제품상세페이지

IBT Bioservices

[IBT Bioservices] Recombinant Ebola Virus rGPΔTM (Mammalian)

Cat-No. 0501-001



IBT Bioservices는 감염병 및 면역 치료제 개발을 위한 비임상 연구 및 

CRO(Contract Research Organization) 서비스를 제공하는 생명과학 기업입니다.





제품 설명

 

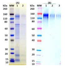
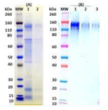
Recombinant Ebola Virus rGPΔTM (Mammalian)

 



제품 번호


0501-001

 



제품 특징


Mature, recombinant, HA-tagged Ebolavirus Glycoprotein minus the Transmembrane Region (EBOV rGPΔTM) is supplied as purified protein.

  • HA-tagged
  • EBOV rGPΔTM is produced in mammalian cells (HEK-293T)
  • Purified by FPLC

 

Formulation & Storage: Supplied in PBS. Store at -20°C for 2-3 weeks, -80°C for long-term.

 

Notes & Usage Guidelines: ELISA: Assay-dependent dilution WB: Assay-dependent dilution

  Ebola Virus rGPΔTM is intended for research use only, not for human, therapeutic, or diagnostic applications.





IBT Bioservices의 모든 제품을 만나 보세요!


Recombinant Proteins

Pseudovirus

Primary Antibodies

Vaccine Adjuvant

Virus Like Particles

Elisa Kits

Cell Lines

Influenza

Filoviruses

Staphylococcus

Other Bacteria

Coronaviruses

Alphaviruses

Other Viruses


Antiviral Assays

Bacterial Assays

ELISA

Functional Assays

Immunoassays

Luminex

Flow Cytometry

Viability Assays

Custom Protein Production Services

Custom Antibody Production


AG129

Animal Models

Bacterial Efficacy Models

Biodistribution

Custom Animal Models

Immunogenicity

PK/PD & Biodistribution

Rodent Breeding

Vaccine Adjuvant Screening

Viral Efficacy Models

IBT Vivarium Rental


Chikungunya virus

Dengue virus

Ebola virus

E. Coli ETEC

Influenza

Marburg

Respiratory Syncytial Virus

SARS-CoV2 & Variants

Staphylococcus Aureus

Streptococcus pneumonia

Sudan virus

Zika virus



IBT Bioservices - Official Distributor in South Korea "Morebio" 한국 공식 대리점 "모아바이오"