IBT Bioservices는 감염병 및 면역 치료제 개발을 위한 비임상 연구 및
CRO(Contract Research Organization) 서비스를 제공하는 생명과학 기업입니다.
제품 설명
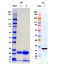
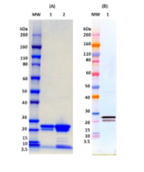
Recombinant Ebola Virus VP24 (Zaire)
제품 번호
0501-030
제품 특징
Recombinant Matrix protein (VP24) of the Ebola virus (EBOV), Zaire Strain is supplied as purified protein.
Formulation & Storage: Supplied in Tris buffered saline. Store at -80°C. It is recommended to dispense single-use aliquots and store aliquots at -80°C to avoid multiple freeze/thaw cycles.
Notes & Usage Guidelines: ELISA: Assay-dependent dilution WB: Assay-dependent dilution
EBOV VP24 is intended for research use only, not for human, therapeutic, or diagnostic applications.

IBT Bioservices의 모든 제품을 만나 보세요!
Custom Protein Production Services
IBT Bioservices - Official Distributor in South Korea "Morebio" 한국 공식 대리점 "모아바이오"