Proteogenix는 Primary Antibody Biosimilar - Research Grade
제품을 전문적으로 생산하는 20년의 경험이 있는 High Quality 제조사입니다.
제품 설명
제품 번호
PTX18821
제품 특징
| Product name | Monkeypox virus/MPXV M1R SAA0283 Monoclonal Antibody SAA0283 |
|---|---|
| Form | Liquid in PBS buffer, pH 7.4 |
| Delivery condition | Blue ice (+4°C) |
| Storage condition | 4°C for short term (1 week), store at -20°C to -80°C for long term(1 year); Avoid repeated freeze-thaw cycles |
| Brand | ProteoGenix |
| Host species | Mouse |
| Reactivity | Monkeypox virus(MPXV) |
| Reference | PTX18821 |
| Isotype | IgG2a, kappa |
| Clonality | Monoclonal Antibody |
| Immunogen | M1R |
| Clone Name | SAA0283 |
| Protein Name | M1R |
| Target species | Anti-Monkeypox virus(MPXV) Monoclonal Antibody |
Monkeypox virus M1R SAA0283 Monoclonal Antibody is a recombinant monoclonal antibody composed of two heavy chains and two light chains. It is a type of immunoglobulin G (IgG) antibody, which is the most common type of antibody found in the blood and other bodily fluids of humans and other mammals.
The M1R SAA0283 Monoclonal Antibody is specific to the monkeypox virus and binds to its surface proteins. This binding blocks the virus from entering cells and prevents it from replicating, thus preventing infection.
The M1R SAA0283 Monoclonal Antibody can be used for research purpose only in monkeypox infections.
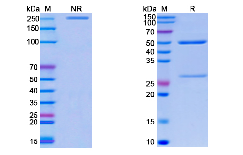
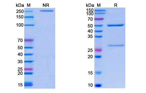
QC & Validation Data


Monkeypox virus/MPXV M1R SAA0283 Monoclonal Antibody SAA0283, on SDS-PAGE under reducing and non-reducing condition. The gel was stained overnight with Coomassie Blue. The purity of the protein is greater than 95%.
ProteoGenix의 모든 제품들을 만나보세요!
Proteogenix - Exclusive Distributor in South Korea "Morebio" 한국 독점 대리점 "모아바이오"